
Merhaba! Siz değerli hastalarımızın sağlığını korumak için ideal hijyen önlemlerini almakta ve son derece titiz çalışmaktayız. Lütfen eğer ateş, öksürük, kas ağrısı gibi belirtileniz varsa diş muayenenizi erteleyin! Hasta randevularımızı hastalarımızı birbirleriyle karşılaşmamalarını sağlayacak aralıklarla verdiğimizden durumunuz acil değilse lütfen randevu saatleri konusunda ısrarcı olmayın. Randevunuza tam zamanında gelerek sizden sonraki hastayla aynı ortamda bulunmayın. Lütfen varsa panoramik diş filmi veya tomografi, doktor raporu veya kullandığınız ilaçların listesini getirmeyi unutmayın. İstisnai bir durumunuz yoksa lütfen randevunuza yanınızda refakatçi olmadan geliniz. Öncelikli olarak telefon 0216 5679812 ile arayarak randevu almanızı ancak ulaşamamanız durumunda mesaj formunu kullanmanızı öneririz! Sağlıklı günler dileriz!
Diş implantı, bu konuda uzman diş hekimleri tarafından anestezi eşliğinde gerçekleştirilen cerrahi operasyonla çene kemiği içerisine eksik dişlerin yerine, kök görevi görmesi için yerleştirilen genellikle titanyum veya titanyum bileşiklerinden hazırlanan yapay diş köklerinin (vida sisteminin) adıdır

Diş çekimleri, diş eti ameliyatları, gömük diş operasyonları gibi ağız içi operasyonlardan sonra öncelikle o günü dinlenerek geçirmeyi unutmayın, aşırı aktivite, stresli işler ve spo yapmaktan kaçının. Operasyon ve diş çekimi sonrasında yara bölgesine konulan tamponu 30 dakika boyunca baskı uygulayacak şekilde ısırmanız gerekmektedir. 30 dakika sonra atabilirsiniz, yerine tekrar tampon koymanıza eğer doktor tavsiye etmemişse çoğu zaman gerek yoktur.

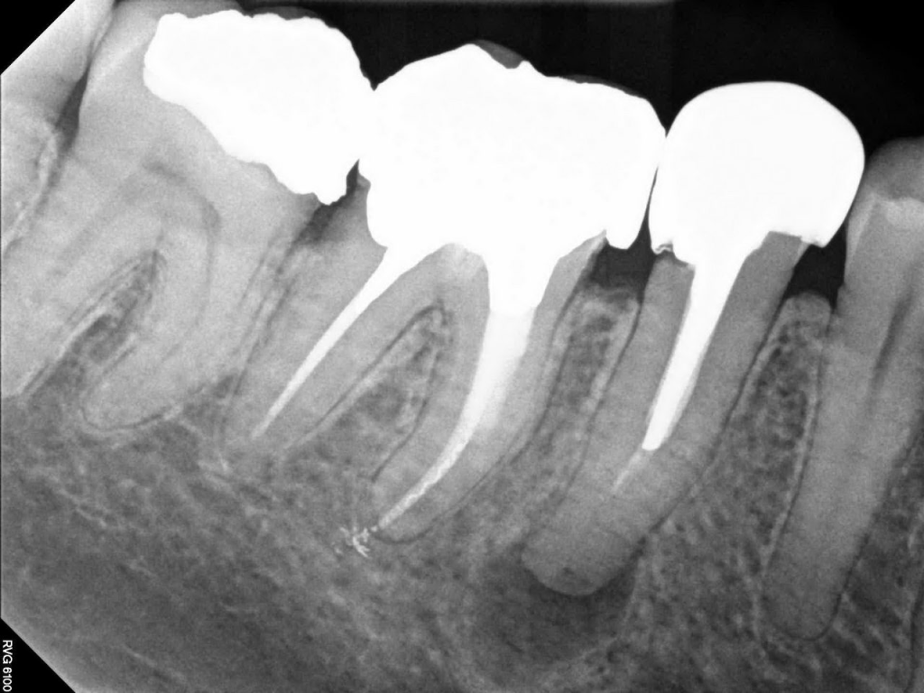
Diş röntgeni diş, çene kemikleri ve diş eti seviyesinin klinik muayenede görülmeyen kısımları hakkında fikir edinmek amacıyla X ışını yardımıyla elde edilen radyolojik görüntülerin adıdır. Diş röntgenleri tedaviye başlanmadan önce teşhis, tanı ve planlama amaçlı istenebileceği gibi, tedavi süresince ve tedavi sonrasında kontrol amaçlı olarak da istenebilmektedir.
Feneryolu’nda bulunan muayenehanemizde Genel Dişhekimliği uygulamaları ve uzmanlık dalım olan Ağız-Diş ve Çene Cerrahisi ile implant uygulamaları yapmaktayız. Bu web sayfası profesyonel amaçla değil, hastalarımıza merak edilen konularda pratik diş hekimliği bilgileri vermek ve hastalarımızın bize kolay ulaşmasına yardımcı olmak için hazırlanmıştır. Hastalarımıza daha kaliteli hizmet verebilmek için çok acil durumlar dışında randevusuz hasta kabul etmiyoruz. Lütfen e-mail değil telefon vasıtasıyla (0216 5679812) randevu talep ediniz. Muayehanemize gelirken lütfen 20 yaş diş çekimleri ve implant teşhis ve tedavisi için gerekli panoramik radyografi veya tomografi görüntülemelerini, düzenli kullandığınız ilaçları, gerekli görüldüyse doktor raporunuzu getirmeyi, ağız sağlığınızın sürekliliği için 6 ayda bir rutin kontrole gelmeyi unutmayınız. Sağlıklı günler dileğiyle!
Kıymetli Hastamız! Kliniğimizde cerrahi işlemler dışında diş beyazlatma, porselen kaplama, gülüş tasarımı, tedavi (diş dolgusu, kanal tedavisi), hareketli (total ve parsiyel protezler), hibrid (implantüstü) ve sabit protezler (porselen, zirkon, lamina) ile temel dişeti hastalığı tedavilerini (diş taşı temizliği, küretaj) de yapmaktayız. Sağlıklı günler dileğiyle!















